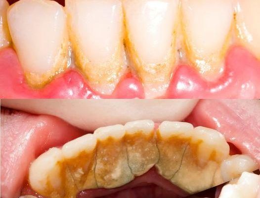
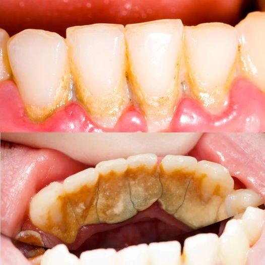
If tartar and plaque are not cleaned from your teeth, they can lead to gum disease and tooth decay. While professional cleanings are the most effective way to remove tartar, natural remedies like turmeric and salt can reduce plaque and prevent tartar growth at home.
Why Turmeric and Salt Work
Turmeric is well-known for its significant anti-inflammatory and antibacterial qualities, which assist to reduce gum inflammation and battle plaque-causing bacteria.
Salt is a natural abrasive that helps to remove plaque and tartar.
How to Use Turmeric and Salt to Remove Tartar and Plaque
1. Turmeric and Salt Paste
Ingredients:
1 teaspoon turmeric powder
1/2 teaspoon salt
A few drops of water
Instructions:
Combine the turmeric powder and salt in a small bowl.
Add a few drops of water to achieve a paste-like consistency.
Dip your toothbrush in the liquid and clean your teeth in circular strokes for around 2 minutes.
Concentrate on places where plaque and tartar tend to accumulate, such as the back of the teeth and the gum line.
Rinse well with water to remove the paste.
2. Turmeric Mouth Rinse
Ingredients:
1/2 teaspoon turmeric powder
1/2 cup warm water
1/2 teaspoon salt
Instructions:
In warm water, combine the turmeric and salt until dissolved.
Swish the fluid in your mouth for 1-2 minutes, concentrating on tartar-prone areas.
Spit it out, and then rinse your mouth with simple water.
3. Turmeric and Coconut Oil Pulling
Ingredients:
1/2 teaspoon turmeric powder
1 tablespoon coconut oil
A pinch of salt (optional)
Instructions:
Mix the turmeric and coconut oil together.
Swish the mixture around in your mouth for 10-15 minutes, taking care not to swallow it.
Spit the oil out and rinse your mouth with warm water.
Brush your teeth afterward to eliminate any leftover residue.
Additional Benefits:
Reduces Gum Inflammation: Turmeric’s anti-inflammatory qualities relieve sore gums and swelling.
Whitens Teeth: Turmeric helps brighten your teeth by removing surface stains from food and drinks.
K*lls Bacteria: Salt’s antibacterial qualities eliminate harmful bacteria in the mouth, lowering the incidence of cavities and gum disease.
